After Cardiac Surgery...
Restart
Sources
Main Menu

 

 

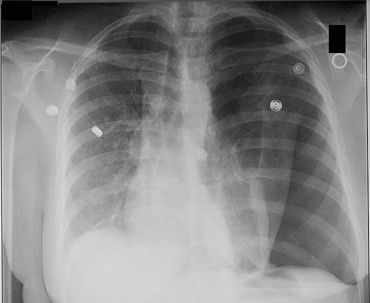
The patient did have a left pneumothorax! The doctor has repositioned the chest tube , and now sats are up to 93%.

(Dimov, 2006; retrieved from Wikipedia, used under Creative Commons license)

Do you see three indications of the pneumothorax?

 

yes, there's obviously air on the right side
not really; it looks like the bigger problem is a distorted diaphragm
his heart is in the wrong place
there are opacities in his right lung; the left lung is clear
the edge of his left lung is pushed medially
 
Let me look at his whole chart again
Click here to go on